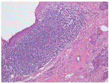
stratified
Figure 5. Histopathological findings of the cyst: stratified squamous epithelium with adjacent lymphoid infiltrate, without signs of atypia