pancreatic
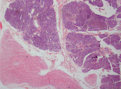
Figure 3. Photomicrograph shows sub epithelial pancreatic tissue (H&E x20).