pancreas
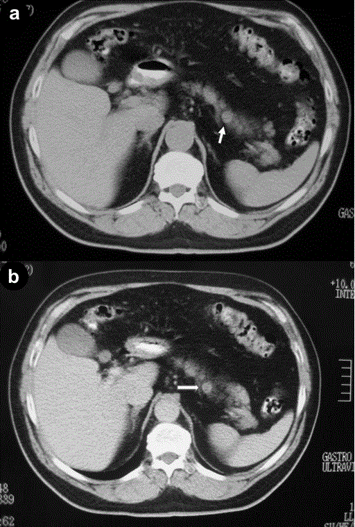
Figure 1. Post contrast CT depicting a small enhancing lesion in the body of the pancreas. Arrows show the lesion.