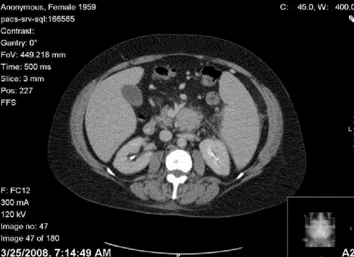
pancreas
Figure 1. A 3.9x3.4 cm mass is noted associated with the posterior aspect of the body of the pancreas, with the loss of fat plane between pancreas and retroperitoneum.