acquisition
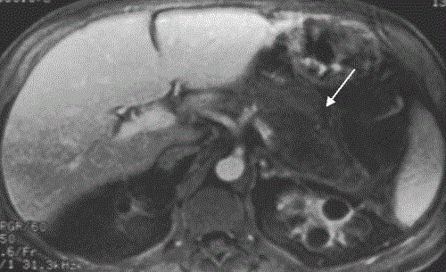
Figure 5. Axial T1w fat-sat acquisition obtained postgadolinium intravenous infusion. The entire pancreatic tail shows absent enhancement due to gland necrosis.