pancreatic
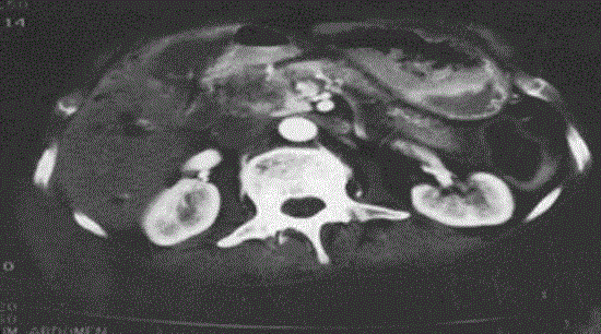
Figure 1. Pre radiofrequency ablation contrast enhanced computed tomography demonstrating large pancreatic head malignancy.