showing
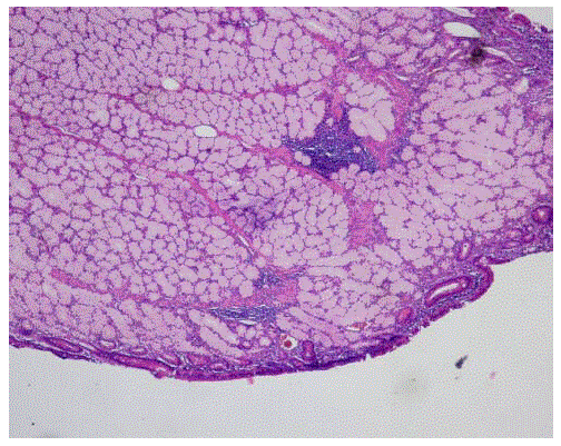
Figure 2. Histological examination showing diffuse nodular Brunner’s gland hyperplasia.