treatment
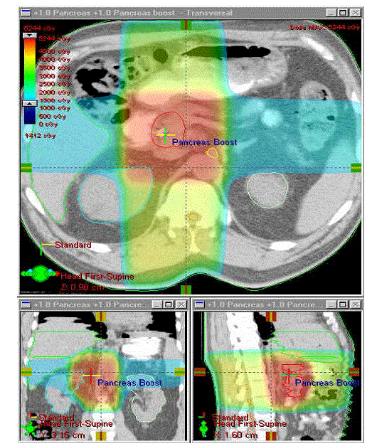
Figure 1. Three-dimensional treatment plan with color wash dose-distributions identifying dose delivered to tumor volume and surrounding normal anatomical structures.