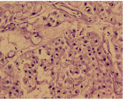
carcinoma
Figure 7. Renal-cell carcinoma. Hematoxylin-eosin (H&E) staining.