demonstrating
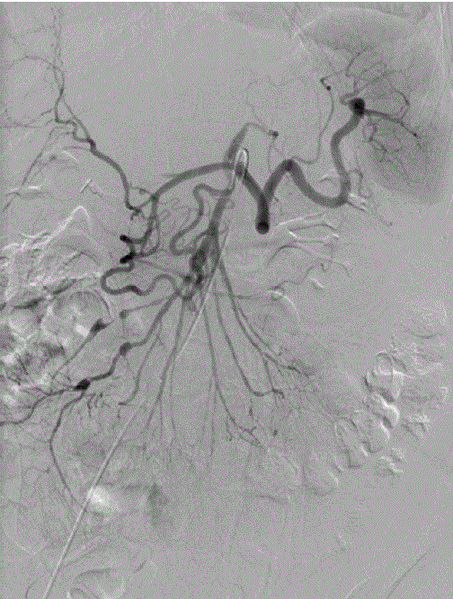
Figure 3. Superior mesenteric angiogram demonstrating vascular irregularity and pseudoaneurysm formation in the right colic, ileocolic and ileojejunal branches, as well as irregularity and pseudoaneurysm formation of multiple right hepatic arteries.