arrows
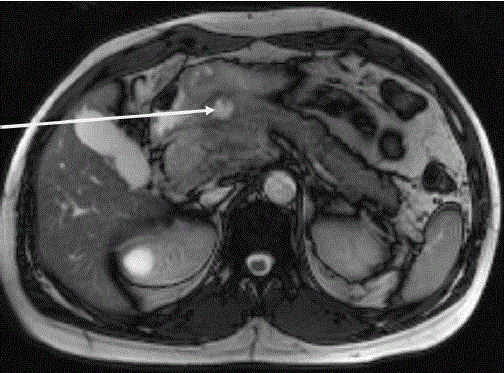
Figure 3. MRI showing a posterior lesion penetrating into the pancreas (arrow).