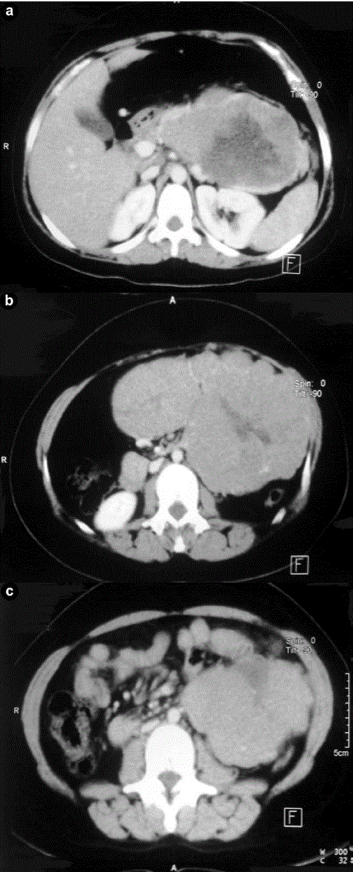
pancreatic
Figure 1. Abdominal CT scan shows a large, well-demarcated, heterogeneous pancreatic mass