![]() |
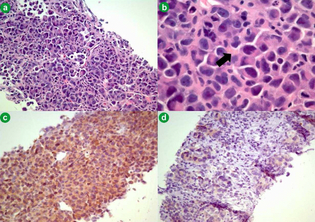
| Figure 2. Liver biopsy demonstrating: a. poorly differentiated neoplasm; b. higher magnification of the poorly differentiated carcinoma demonstrating probable evidence of bile production by tumor cells (black arrow); c. positive staining with CAM 5.2; and d. focal weakly positive staining with hepar-1. |