showing
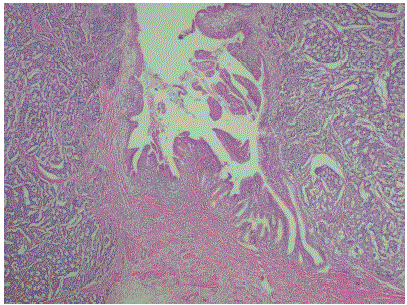
Figure 5. Microphotograph showing neuroendocrine tumor at the ampulla. The pancreatic duct is also seen. (Magnification, x40).