staining
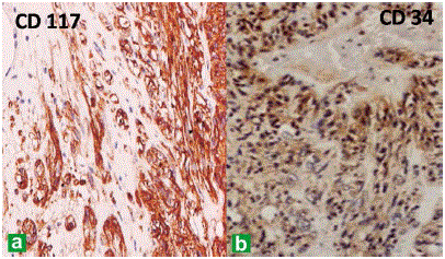
Figure 4. Immunohistochemical staining of tumor cells with c- KIT/CD117 (a.) and CD34 (b.) showing strong cytoplasmic positivity. The tumor cells were consistently negative for S-100 and α- smooth muscle actin (SMA). (Original magnification, 100x).