view
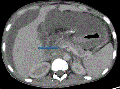
Figure 2. CECT axial view depicts patent splenic vein (arrow), the pancreas is ill defined with surrounding ascites.