coronal
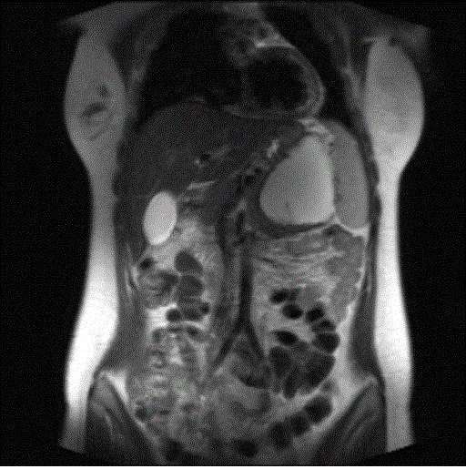
Figure 2. T2-weighted coronal MR image showed a simple cystic mass of the pancreatic tail displacing laterally the spleen; the thin line of hypointensity due to internal septum is clearly detected.