image
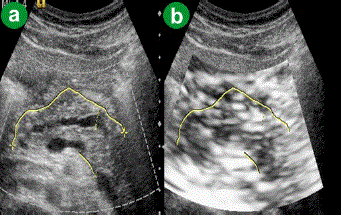
Figure 3. Chronic pancreatitis. a. US B-mode image. b. eSie touch gray scale image (light gray to gray: score 2-3).