findings
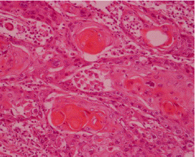
Figure 5. Pathologic findings indicating pure, well-differentiated squamous cell carcinoma with evidence of abundant cytoplasmic keratin pearls and intercellular bridges. (H&E, original magnification x300).