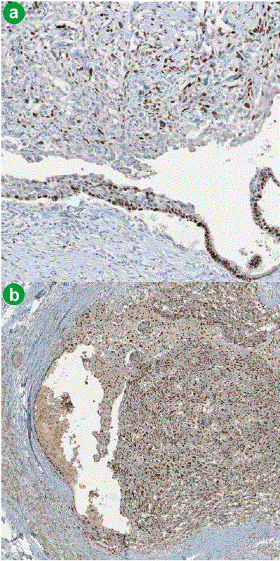
Intraductal
Figure 5. Intraductal growth of the undifferentiated carcinoma of the pancreas. Epithelial neoplastic component including the epithelial lining of the pancreatic duct and nonepithelial neoplastic components are positive for P63 (a. original magnification 10x) and P 53 (b. original magnification 4x).